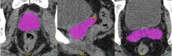
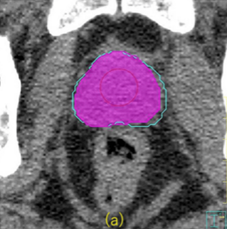
論文「Dosimetric Impact of Artificial Intelligence (AI)‑Based Autocontouring Software, OncoStudio, in High‑Risk Prostate Cancer Treatment Planning: A Three‑Group Comparative Study on the Slice Ranges of Seminal Vesicles」が発表されました。本研究では、OncoStudioによる高リスク前立腺がん患者の精嚢に対するAI自動輪郭抽出とマニュアル輪郭抽出との違いを線量で比較しています。CTV, PTVに対して、統計的に有意な線量差は認められず、処方に対する差は1%未満であることが示されました。この結果は、AI自動輪郭抽出が高リスク前立腺癌放射線治療計画において信頼性の高い選択肢であることを示唆しています。
論文はこちらからご覧いただけます。



